Возбудители болезни
В большинстве случаев пневмония вызывается инфекционными агентами – бактериями, вирусами, грибками.
Бактериальная пневмония находится на первом месте по частоте случаев. Чаще всего ее вызывают грамположительные организмы: пневмококки (40-60 % случаев), стафилококки и стрептококки (от 2 до 5 %). К грамотрицательным бактериям, провоцирующим возникновение воспаления легких, относятся палочки (кишечная, гемофильная), протеи, легионеллы.
Вирусная пневмония возникает под воздействием вирусов гриппа, парагриппа, адено- , коронавируса. Заболевание могут вызывать простейшие микроорганизмы (микоплазма), грибки. Пневмония может быть смешанной (бактериально-вирусной), такой вид патологии наиболее опасен.
Лечение антибиотиками
Основа лечения – прием антибиотиков для подавления активности патогенной флоры. Изначально, до результатов посева применяют пенициллины, цефалоспорины, после получения результатов посевов лечение может быть скорректировано по данным чувствительности флоры к антибиотикам.
Препараты могут быть системными (в инъекциях, таблетках, капсулах или растворах) и местные. Это спреи или капли с антибактериальными и дополнительными компонентами (гормоны, сосудосуживающие компоненты).
Препараты этой группы назначает только врач, по рецепту, принимают их под его контролем, полным курсом, даже если стало лучше и все симптомы исчезли. Если препарат не имеет эффективности на протяжении 2-3 суток, его меняют на более сильный, из другой группы.
Местное лечение обострения баланопостита
Основная проблема лечения баланопостита состоит в том, что
местные противовоспалительные средства отлично помогают: проходит покраснение и боли, исчезает отечность и неприятный запах – головка и крайняя плоть выглядят (и являются) абсолютно здоровыми.
Но, к сожалению, такое лечение дает лишь непродолжительный эффект. После очередного активного секса или нарушения правил гигиены воспаление появляется снова, т.е. возникает рецидив хронического баланопостита.
Если после применения местных антибактериальных и противовоспалительных средств в течение нескольких месяцев баланопостит рецидивирует, то не стоит повторно применять мази для снятия симптомов. Необходимо обратится к урологу для уточнения диагноза и выработки правильной тактики лечения.
Обязательным моментом лечения баланопостита является устранение или уменьшение влияния предрасполагающих факторов. В ряде случаев это позволяет вылечить баланопостит (если он не выраженный) или значительно снизить частоту обострений.
Так, в случае сахарного диабета или сниженной толерантности к глюкозе при ожирении необходимо нормализовать свой вес с помощью диет, правильного питания, регулярных физических нагрузок и активного образа жизни. Если это не помогает, то нужно всерьез задуматься о бариатрической хирургии, которая позволяет максимально быстро и эффективно убрать лишний вес.
Мужчины с сахарным диабетом первого типа в случае появления признаков баланопостита должны обратить особое внимание на проводимую заместительную терапию инсулином. Необходимо уделять большее внимание общей и интимной гигиене, особенно после полового акта
Также стоит попытаться определить, не связано ли покраснение полового члена с реакцией крайней плоти по типу контактного дерматита на тот или иной стиральный порошок, мыло или гель для душа
Необходимо уделять большее внимание общей и интимной гигиене, особенно после полового акта. Также стоит попытаться определить, не связано ли покраснение полового члена с реакцией крайней плоти по типу контактного дерматита на тот или иной стиральный порошок, мыло или гель для душа
Обязательно нужно сдать анализы на половые инфекции, если были незащищенные половые контакты. Пройти обследование на ВИЧ-инфекцию, гепатиты и сифилис.
Текст подготовил
Котов Максим Анатольевич, главный врач центра КТ «Ами», кандидат медицинских наук, доцент. Стаж 19 лет
Список источников
- Campbell B., De Silva D., Macleod M., Coutts S., Schwamm L., Davis S., Donnan G. Ischaemic stroke, 2019.
- Bouchez L., Sztajzel R., Vargas M. CT imaging selection in acute stroke, 2016.
- Kamalian S., Lev M., Stroke Imaging, 2019.
- Котов М.А. Возможности компьютерной томографии в прогнозировании летального исхода инсульта / Дневник казанской медицинской школы. — 2017. — №. 2. — С. 76-80.
- Котов М.А. Показатели и значение интракраниального анатомического резерва, у пациентов с острым нарушением мозгового кровообращения / Журнал научных статей Здоровье и образование в XXI веке.Т. 18, № 2., 2016. — С. 229-233.
- Котов М.А. Лучевые предикторы исходов ишемического инсульта / Дневник казанской медицинской школы. – 2018. – №. 2. – С. 86-89.
- Котов М.А. Предикторы раннего летального исхода острого нарушения мозгового кровообращения, выявляемые при компьютерной томографии / Материалы VIII Научно-практической конференции Поленовские чтения, Российский нейрохирургический журнал им. проф. А.Л. Поленова, специальный выпуск. — 2018, -Т.Х, С. 129.
- Котов М.А. Возможности компьютерной томографии в оценке риска развития острого нарушения мозгового кровообращения / Вестник Северо-Западного государственного медицинского университета им. И.И. Мечникова. 2017. Т. 9. № 4. — С. 35-38.
- Kotov M.A. Brain dislocation morphometry at neurology and neurosurgery from the standpoint of evidence-based medicine / Global Science and Innovation // Materials of the V international scientific conference. – Chicago, 2015. – Р. 207-212.
Какие физические упражнения необходимо выполнять после инфаркта миокарда?
Физические нагрузки для людей перенесших инфаркт миокарда, являются лекарством, и, как всякое лекарство, их необходимо строго дозировать. С помощью специальных тестов на тренажерах, «велосипеде» или движущейся дорожке врач подберет вам варианты упражнений и их объем.
Лечебная физкультура назначается через 2-3 недель после перенесенного инфаркта и включает в себя утреннюю гигиеническую гимнастику, лечебную гимнастику, дозированную ходьбу.
Правильно подобранные физические нагрузки укрепляют сердечно-сосудистую систему, приводят к формированию коллатералей и имеют положительный психологический эффект.
Рекомендации по выполнению тренировок:
- физические тренировки, включая ежедневную утреннюю гимнастику, должны быть регулярными и проводить их желательно на свежем воздухе;
- начинать следует с малых нагрузок и постепенно их увеличивать (лучше под контролем врача или инструктора ЛФК);
- при появлении во время тренировки приступа стенокардии, выраженного сердцебиения или сильной одышки необходимо остановиться и отдохнуть. Это явления перегрузки. Необходимо временно снизить нагрузку;
- не нужно начинать упражнения сразу после еды, лучше выполнять их натощак или не раньше чем час после еды;
- необходимо избегать тренировок в тяжелых погодных условиях (мороз, ветер, жаркая влажная погода);
- не следует устраивать соревнования или достигать каких-то спортивных результатов.
Тренировки должны доставлять удовольствие, хорошие эмоции, чтобы выработалась потребность в регулярных физических нагрузках.
Признаки снижения защитных сил организма
Понять, что иммунная система ослаблена, можно по следующим проявлениям:
- сильный упадок энергии и постоянное ощущение слабости;
- регулярные головные боли без видимых на то причин;
- чрезмерная раздражительность;
- появление депрессивных состояний;
- постоянная сонливость даже при достаточном количестве сна;
- ломкость ногтей и волос, нездоровый цвет кожи;
- появление гнойничковых поражений;
- рецидивы заболеваний мочевыделительной системы, органов дыхания и носовых пазух;
- побледнение кожных покровов;
- грибок на коже, ногтях и слизистых оболочках;
- медленное заживление ран;
- увеличение лимфатических узлов;
- частые ОРВИ (более 2-3 раз в год);
- туберкулезная инфекция в любой форме.
Чтобы не допустить проявление данной симптоматики, нужно сразу же заняться повышением защитных сил организма.
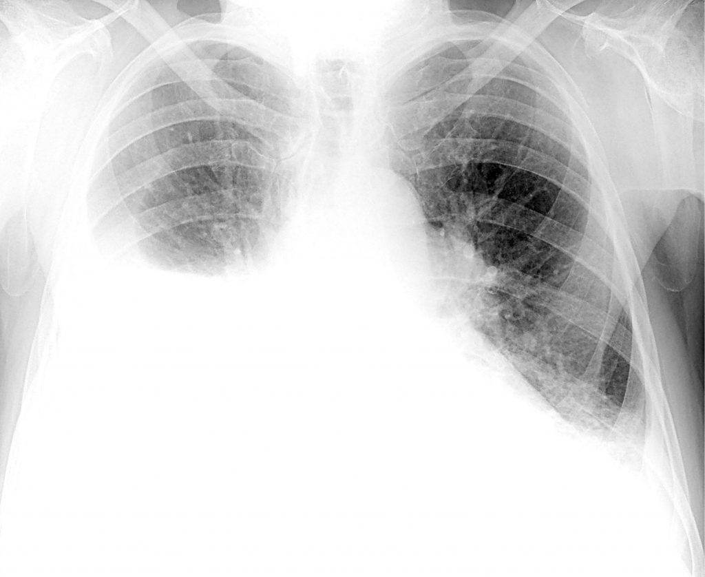
Изменения в легких при коронавирусе
Инфицирование новым штаммом вируса SARS-CoV-2 вызывает в органах дыхания острый воспалительный процесс.
Изначально вирус поражает верхние дыхательные пути, а затем может проникать в
легкие и провоцировать развитие вирусной пневмонии. Она в свою очередь может
осложняться присоединением вторичной бактериальной инфекции, что приведет к
вирусно-бактериальному воспалению легких, которое лечится уже серьезнее, дольше
и хуже переносится организмом.
При коронавирусной инфекции больше всего страдают альвеолы,
являющиеся мельчайшими легочными структурами. Они имеют форму пузырьков и
отвечают за осуществление газообменных процессов, т. е. поглощение кровью
кислорода и ее очищение от углекислого газа. Коронавирус разрушает стенки
альвеол, что приводит к нарушению этих процессов, а также накоплению в альвеолах
воспалительного экссудата.

Это может приводить к замене пораженных участков плотной
соединительной тканью, не способной к растяжению, что и называют фиброзом
легких. В таких ситуациях они не смогут полноценно выполнять дыхательную
функцию, а их жизненный объем уменьшится, что при обширном замещении нормальной
ткани легких даже может стать причиной инвалидности.
Возникающая в результате нарушения газообмена гипоксия, т.
е. кислородное голодание, отрицательно сказывается на работе всего организма,
поскольку все органы страдают от нехватки кислорода. На КТ или рентгеновских
снимках в таких ситуациях становятся заметными белые пятна, что еще называют
эффектом матового стекла. Впоследствии при развитии фиброза на снимках могут
визуализироваться особые затемнения, указывающие на пневмофиброз. Хотя подобные
изменения характерны не только для коронавирусной инфекции, но и для других
тяжелых бактериальных и вирусных пневмоний.
Развитие пневмофиброза приводит к возникновению одышки,
особенно после физической нагрузки, снижению работоспособности вплоть до
инвалидности, приступам головокружения, сухому кашлю, болям в груди. В тяжелых
случаях человек может не только терять способность к труду, но и к
самообслуживанию. Именно для того, чтобы избежать подобных нежелательных последствий
и требуется проведение восстановительных мероприятий или реабилитации после
пневмонии и коронавируса.

Как развивается пневмония, и чем она опасна
Если ищете способ, как быстро восстановиться после пневмонии, то напрасно. Ускоренная реабилитация здесь совершенно неуместна. Вирусная пневмония (особенно ковидная) протекает в разы тяжелее бактериальной. Она развивается стремительно, в течение первых 2–3 суток. И, как правило, не ограничивается только легкими. Под ударом оказываются сердце, почки, печень и другие органы.
Бактериальная форма пневмонии хотя и прогрессирует гораздо медленнее, угрозу представляет не меньшую. Ее главная опасность – это абсолютная непредсказуемость. На второй неделе симптомы вирусной инфекции идут на спад, больной с каждым днем чувствует себя все лучше, но вдруг наступает резкое ухудшение.
Так или иначе, ключевым моментом в обоих случаях является объем поражения легких. При тяжелом течении заболевания велик риск приобрести хронические патологии органов дыхания: бронхит, астму и т.д. Вот почему так важна правильная реабилитация.
Как восстановиться в условиях города, если нет возможности выехать на реабилитацию в санаторий к морю?
В условиях города для реабилитации после ковида климатотерапию может прекрасно заменить галотерапия: доказано, что 40 минут пребывания в галокамере (соляной пещере) заменяет по эффекту 4 дня пребывания на море! Галотерапия поможет очистить верхние и нижние дыхательные пути от остаточных явлений воспаления, улучшит кровоснабжение и качество кислородообмена в альвеолах.
Для усиления эффективности и купирования остаточного воспаления в носоглотке и укрепления иммунного барьера хорошо сочетать галотерапию с физиотерапевтическими методам, такими как лазеротерапия, магнитотерапия, УЗОЛ-терапия.
Особенности лечения ринита
Лечение ринита подбирается по симптомам. Например, если есть заложенность носа, целесообразно уменьшить отек слизистой оболочки. В случае прозрачного секрета используются средства для уменьшения секреции слизистой оболочки носа. В случае густого секрета, который трудно удалять, используются разбавители слизи.
Лечение простудных осложнений требует большего внимания, дополнительной медицинской помощи и времени. Промывание слизистой оболочки носа – давно известное средство от насморка. Промывание накопленного секрета в ноздрях снижает вероятность того, что вирус будет размножаться, вызывая местное воспаление. Кроме того, морская вода увлажняет слизистую носа, уменьшает отек, разжижает и помогает очистить густую слизь, мешающую дыханию.
Промывание слизистой оболочки носа начинают, если заболевание проявляется заложенностью, выделениями или перфорацией носоглотки. Это особенно рекомендуется для детей младшего возраста, которые подвержены более высокому риску осложнений вирусного ринита (острые инфекции уха, тонзиллит, бронхит), чем взрослые из-за более слабой иммунной системы или просто из-за неспособности высморкаться.
Следует отметить, что гипертонический раствор, в отличие от изотонического, не только промывает слизистую носа, но и действует аналогично местному деконгестанту. Из-за различий в осмотическом давлении гипертонический раствор улучшает дыхательную функцию носа, сужая слизистую оболочку носа. Поэтому в начальной фазе лечение острого вирусного ринита обычно рекомендуется начинать с гипертонического раствора.
Реабилитация при фиброзе легких
Бытует мнение, что фиброзные изменения в легких, однажды
появившись, уже не исчезают. Но в действительности наличие признаков фиброза на
КТ не всегда указывает на необратимость произошедших изменений, поскольку для
формирования стойких участков пневмофиброза требуется около 2—3 месяцев.
Поэтому при правильном восстановлении достаточно часто через 1—2 месяца на
контрольной КТ видна положительная динамика в тех зонах, где были признаки
развития пневмофиброза. Но уже сформировавшийся фиброз необратим.
Для предотвращения развития пневмофиброза пациентам
назначаются:
- бронхолитики;
- кортикостероиды;
- цитостатики;
- лонгидаза;
- препараты урсодезоксихолиевой кислоты;
- витамины Е, В6, D;
- дыхательная гимнастика;
- ЛФК.
Занятия дыхательной гимнастикой и лечебной физкультурой
начинают еще в стационаре больнице и обязательно продолжают в домашних
условиях. В рамках дыхательной гимнастики выполняют упражнения на форсированный
выдох, но также показано диафрагмальное дыхание.

Для выполнения диафрагмального дыхания ладонь кладут на живот, чтобы контролировать качество выполнения. Затем осуществляют вдох через нос, следя, чтобы живот поднимался и толкал ладонь, а грудная клетка оставалась неподвижной. Выдох выполняют спокойно через нос, одновременно надавливая ладонью на живот в направлении позвоночника. Повторяют несколько раз. Диафрагмальное дыхание можно практиковать и с дыхательными тренажерами или той же бутылкой воды и пластиковой трубочкой. Первоначально длительность занятий не должна превышать 1 минуту, но постепенно, добавляя по 1 минуте в 3—4 дня, их продолжительность следует увеличивать до 20 минут.
В качестве ЛФК используются приведенные выше упражнения, а
по мере восстановления переходят к ходьбе, скандинавской ходьбе, занятиям на
велотренажере. Положительно на состоянии организма и работе легких сказывается
мануальная терапия, которая активизирует кровообращение, улучшает течение
обменных процессов и способствует быстрейшему восстановлению всего организма.
Таким образом, перенесение коронавирусной инфекции и даже
воспаления легких, приведших к появлению признаков фиброза, не стоит рассматривать
в качестве приговора
Но чтобы избежать отрицательных последствий,
инвалидизации и сохранить нормальное качество жизни важно не пренебрегать
необходимостью реабилитации и проходить ее под контролем специалистов,
способных при необходимости внести необходимые изменения в программу и довести
пациента до полного восстановления нормального функционирования легких и всего
организма
Когда можно приступать к реабилитации
Многие, кто на себе почувствовал, что такое коронавирус,
жалуются на одышку, быструю утомляемость, приступы головокружения и других
подобные нарушения. Их наличие указывает на сохранение изменений в состоянии и
функционировании легких. Именно на их устранение и направлена в большей степени
программа реабилитации.
Начинают работать над восстановлением организма после коронавирусной инфекции и тем более пневмонии можно с разрешения врача после окончательного купирования острого воспалительного процесса и нормализации температуры тела
Важно при этом исключить наличие нарушений работы сердечно-сосудистой системы и почек, поскольку в таких ситуациях восстановление будет проводиться по другой, особой программе
Реабилитацию стоит начинать как можно раньше, так как это обеспечит получение наилучшего эффекта, но и слишком спешить не стоит, чтобы не спровоцировать ухудшение самочувствия. Оптимальным вариантом станет получение разрешения лечащего врача, которое большинству больных предоставляется на 20—25 день после начала лечения.

Гимнастика при пневмонии: что нужно знать
Как мы уже говорили, ЛФК и дыхательная гимнастика — один из элементов комплексной программы восстановления при пневмонии. «Занятия лечебной физкультурой при (и после) COVID-19, пневмонии, бронхите и плеврите следует начинать с упражнений, способствующих дренированию полостей бронхов, абсцессов», — объясняет Есения Калюжина.
Дренаж обеспечивают упражнения для области грудной клетки, которые стимулируют кровообращение и движение мокроты. «Больному придают такое положение, чтобы область поражения легкого располагалась выше дренирующего ее бронха (или бронхов), — отмечает Есения Калюжина. — Благодаря этому во время выполнения специальных упражнений мокрота под действием силы тяжести попадает в главный бронх и достигает трахеи, вызывая непроизвольный энергичный кашель, с которым и покидает организм».
Чаще всего в восстановительный комплекс входят несложные суставные упражнения. «Это, например, активные (но не резкие) движения в суставах верхних и нижних конечностей, комбинация упражнений на мышцы спины, грудной клетки и диафрагмы, растяжки, отстукивающие движения, — добавляет Андреас Штромбергер. — Также используют специальные дыхательные приборы и тренажеры. Регулярные занятия помогают восстановиться дыхательной мускулатуре, укрепляют мышцы и улучшают дыхание».
Есть несколько видов дыхательной и восстановительной гимнастики, обсудите возможность их применения со своим лечащим врачом. Мы попросили Есению Калюжину показать нам комплекс упражнений при пневмонии, который ускорит восстановление.
Что можно после инфаркта
Людям, перенесшим инфаркт рекомендуется:
- нежирное мясо в отварном виде, тощее мясо курицы и индейки (приготовленное без кожи), нежирная рыба;
- нежирные молочные продукты — простокваша, кефир, творог;
- растительные масла — подсолнечное, оливковое, льняное, соевое;
- свежие овощи;
- фрукты и ягоды. Яблоки, цитрусовые, клубника, авокадо, черника и груши – 2-3 раза в неделю (эти плоды богаты грубыми пищевыми волокнами);
- сухофрукты — не больше одной горсти в день;
- все виды рассыпчатых и слизистых каш, кроме манки. Допустимо 1-2 раза в неделю готовить на гарнир макароны из твердых сортов пшеницы.
Принимать пищу следует 5 раз с промежутками в 3 часа, малыми порциями, последний прием пищи не позднее чем за 3 часа до сна.
Кардиологический санаторный центр Переделкино
После выписки из больницы для успешного восстановления после инфаркта миокарда необходимо пройти реабилитацию в специализированном кардиологическом санатории.
Здесь вы сможете максимально восстановить физическое и психологическое здоровье, режим двигательной активности, а также подготовиться к нагрузкам, которые ожидают вас в работе и быту.
Цель санаторной реабилитации — формирование привычки к здоровому образу жизни, двигательной активности и правильному питанию.
Когда нужна госпитализация и кислородная поддержка?
- Если показатель упал до 93%, и больной чувствует себя плохо (выражена гипоксемия, дыхательная недостаточность, респираторная симптоматика).
- При значительном проценте поражения легких на КТ (> 50%, при КТ-3, КТ-4).
- Пожилой возраст пациента.
- Сопутствующие хронические заболевания дыхательной системы.
- Сопутствующие хронические заболевания сердечно-сосудистой системы.
- Изначально низкая сатурация на фоне анемии.
- Беременным женщинам.
- Пациентам с иммунодефицитом.
- Пациентам с ожирением.
- При сахарном диабете.
Снижение сатурации опасно прежде всего для этих групп пациентов.
Если у госпитализированного пациента сатурация низкая и не поднимается даже с кислородом, то согласно действующим рекомендациям врачей-реаниматологов, больному проводится интубация трахеи.
Характеристики состояния
С момента проникновения вируса в организм и до момента появления клинических симптомов кишечного коронавируса проходит от 2 до 5 суток. Данное состояние не протекает в бессимптомной форме. В отличие от респираторной формы, после того как человек переболел кишечной формой коронавируса, в его организме вырабатывается неустойчивый иммунитет. Клиническая картина данного состояния во многом напоминает гастроэнтерит.
У пациентов, имеющих хронические заболевания желудочно-кишечного тракта, клиническая симптоматика кишечного коронавируса выражена в большей степени.
Причины
Диарея при коронавирусной инфекции может быть как первичной, так и вторичной, Первичный вариант заболевания развивается от непосредственного влияния вируса на организм. При передаче вируса фекально-оральным способом, в просвете кишечника патогенный микроорганизм прикрепляется к клеткам эпителия слизистой оболочки органа и провоцирует развитие воспалительного процесса.
Вторичный вариант кишечной формы коронавируса является осложнением, возникающим после комплексного лечения Covid-19. В 90% случаев, комплексная терапия данного инфекционного заболевания включает прием антибиотиков, так как это позволяет предотвратить присоединение вторичной бактериальной инфекции. Антибиотики, в свою очередь, оказывают губительное влияние не только на болезнетворные микроорганизмы, но и на полезную кишечную микрофлору. Человек сталкивается с таким явлением, как дисбактериоз.
Почему после перенесенной коронавирусной инфекции COVID-19 с пневмонией необходима реабилитация?
Не все знают, что восстановление клеточного и гуморального иммунитета после любой рядовой респираторной вирусной инфекции происходит минимум в течение 1–1,5 месяцев. Это происходит в связи с тем, что на регенеративные процессы слизистой оболочки носоглотки, пострадавшей от инфекции, а также для созревания и накопления иммуноглобулинов, антител необходимо время. Именно поэтому в период сразу после выздоровления мы не опасны для окружающих, но абсолютно беззащитны для нового проникновения как вирусов, так и бактерий или грибов, так как до 1,5 месяцев находимся в состоянии приобретенного иммунодефицита.
Новая коронавирусная инфекция безусловно еще более сложна в восстановительный период. После перенесенной пневмонии длительно сохраняется «грудной зажим», в виде сдавливающего ощущения тяжести в области груди, невозможности сделать глубокий эффективный вдох. Длительно сохраняется ощущения недостаточного кислородного обмена в тканях, сопровождающееся головной болью, слабостью, выраженным астеническим синдромом (обессиленностью). Программа реабилитации после Covid-19 в филиале Москва-сити предусматривает пневмонию в анамнезе у пациента; после более легких форм (бессимптомной, легкой или средней степени тяжести) помогает восстановиться программа реабилитации после Covid-19 в филиале Гарибальди и Каховка.
Соблюдение противоэпидемических норм
Несколько простых правил, которые существенно снизят риск повторного заболевания и присоединения дополнительных инфекций:
- закрывайте нос и рот при кашле и чихании;
- избегайте людных мест и контакта с больными людьми;
- используйте индивидуальные средства личной гигиены;
- чаще обрабатывайте руки антисептиком;
- тщательно мойте их с мылом после улицы;
- в общественных местах надевайте медицинскую маску так, чтобы были полностью закрыты рот и нос.
Важно! Если Вы заболели, обратитесь в медицинское учреждение за квалифицированной помощью. Не пытайтесь заниматься самолечением, так как можно упустить драгоценное время.
Как построить занятие
Начните с 5-10 повторов каждого упражнения и постепенно, по мере адаптации, увеличивайте это число. Если чувствуете сильную слабость, сократите количество повторов.
Занимайтесь по этой программе через день.
Двигайтесь плавно, старайтесь дышать глубоко и равномерно.
Следите за своим самочувствием. «Вас должны насторожить следующие симптомы: одышка, кашель, боль в груди и межреберном пространстве, увеличение частоты дыхательных движений (ЧДД). В норме должно быть от 16 до 20 вдохов в минуту, если их больше 30 — это повод для беспокойства», — говорит Андреас Штромбергер.
Перед началом тренировок посоветуйтесь с врачом.
Для выполнения комплекса вам понадобится стул и лента-эспандер слабого сопротивления.
Текст подготовил

Котов Максим Анатольевич, главный врач центра КТ «Ами», кандидат медицинских наук, доцент. Стаж 19 лет
Список источников
- Котов М.А. Опыт применения компьютерной томографии в диагностике заболеваний органов дыхания у детей / Материалы X Невского радиологического Форума (НРФ-2018). – СПб., 2018, Лучевая диагностика и терапия. 2018. № 1 (9). — С. 149.
- Панов А.А. Пневмония: классификация, этиология, клиника, диагностика, лечение, 2020.
- Бова А.А. Пневмонии: этиология, патогенез, клиника, диагностика, 2016.
- Chl Hong, M.M Aung , K. Kanagasabai , C.A. Lim , S. Liang , K.S Tan. The association between oral health status and respiratory pathogen colonization with pneumonia risk in institutionalized adults, 2018.
- Yang-Pei Chang, Chih-Jen Yang, Kai-Fang Hu, A-Ching Chao, Yu-Han Chang, Kun-Pin Hsieh, Jui-Hsiu Tsai, Pei-Shan Ho, Shen-Yang Lim. Risk factors for pneumonia among patients with Parkinson’s disease: a Taiwan nationwide population-based study, 2016.
- Клинические рекомендации по диагностике, лечению и профилактике тяжелой внебольничной пневмонии у взрослых. Министерство здравоохранения РФ, 2019.
Как восстановиться после пневмонии: этап первый
После перенесенной пневмонии очень важно восстановить нормальное функционирование органов дыхания и убрать остаточные симптомы. В противном случае затяжной кашель и одышка могут сохраняться еще очень долго
В этом помогут простейшие дыхательные упражнения. Например, поочередная задержка дыхания на вдохе и выдохе. Излишне усердствовать не стоит. Для начала можно задерживать дыхание на 10 секунд, ежедневно прибавляя по 5–10. И так до 1 минуты.
Еще одно хорошее упражнение для тренировки легких – быстрые вдохи-выдохи на протяжении 30–60 секунд. Также эффективны глубокие дыхательные движения с максимальным растяжением грудной клетки. И даже простое надувание воздушных шариков – это уже отличная зарядка для легких. Главное выполнять все перечисленные упражнения на протяжении всего дня.
Кроме того, будут полезны прогулки на свежем воздухе. Благо, сейчас строгих ограничений по передвижению нет. Однако избегать многолюдных и сильно загазованных мест настоятельно рекомендуется. А на время прогулки не забудьте проветрить помещение. Кислорода много не бывает.
Отвечая на вопрос, как восстановиться после пневмонии взрослому, вспомним и про отказ от вредных привычек. Если до этого вы курили, есть веская причина бросить. И старайтесь не переохлаждаться.

Хирургическое лечение хронического баланопостита
Как правило, возникает следующая ситуация. Мужчина как можно дольше откладывает поход к врачу и использует мази при обострении баланопостита, которые дают хоть и непродолжительный, но эффект. С течением времени рецидивы возникают все чаще, крайняя плоть повреждается все сильнее, что приводит к образованию сужения крайней плоти – фимозу. На фоне фимоза, значительно ухудшаются репаративные возможности эпителия головки и крайней плоти, и воспалительный процесс становится постоянным – без видимых ремиссий. Половая жизнь становится практически невозможной, тогда мужчина и обращается к специалисту урологу.
Таким образом, хроническое воспаление крайней плоти всегда приводит к фимозу. Фимоз в свою очередь всегда вызывает и поддерживает воспаление. Поэтому подход к лечению фимоза и хронического баланопостита по сути одинаков: рано или поздно придется делать обрезание.
Лечение баланопостита на фоне фимоза сводится к удалению субстрата воспаления – проводится операция обрезание крайней плоти. Собственно и сам фимоз (без баланопостита) уже является показанием для проведения данного оперативного вмешательства. После обрезания крайней плоти проблема баланопостита решается. Эффективность лечения очень высокая.
В этой статье более подробно рассматривается вопрос обрезания крайней плоти у мужчин.
доктор Бабыкин А.В.
Как восстановиться после пневмонии: советы по питанию
Определенная диета при пневмонии также необходима. Серьезно менять рацион не потребуется, но ограничить потребление жареных, копченых и острых блюд не помешает. Лишняя нагрузка на органы пищеварения эхом отзовется на работе легких. К тому же после курса антибиотиков нужно позаботиться о восстановлении полезной микрофлоры. А тяжелая пища в этом не лучший помощник.
Чтобы пища усваивалась правильно, готовить ее лучше на пару. Для мобилизации защитных сил организма и восполнения потраченной на борьбу с болезнью энергии рекомендуются:
- рыба;
- нежирное мясо;
- молочные и кисломолочные продукты;
- цельнозерновые каши;
- свежие фрукты и овощи.
Не менее актуальный вопрос: нужно ли принимать про- и пребиотики после пневмонии? По большому счету острой необходимости в этом нет. Восстановить баланс кишечной микрофлоры помогут богатые клетчаткой продукты (те же овощи, фрукты и крупы). А чтобы избежать неприятных последствий приема антибиотиков, лучше довериться природным средствам. В их числе нет равных девясилу.
Также очень важно соблюдать питьевой режим. Помимо обычной воды для этого хорошо подходят травяные чаи

























































