Содержание
Зубной налет – предвестник камнеобразования и развития серьезных патологий (кариеса, пульпита). Эта проблема считается главной причиной неприятного запаха изо рта, который не может устранить даже регулярная чистка зубов.
Пятна на зубной поверхности могут появляться даже при тщательном соблюдении всех гигиенических мероприятий. На эмали сначала формируется желтоватая полоска, которая со временем темнеет.
Цвет и интенсивность могут варьироваться в значительной степени (в зависимости от причинного фактора):
- Белый цвет — самая благоприятно протекающая форма, не приводящая к разрушению эмали при соблюдении обычных гигиенических процедур.
- Коричневый оттенок самый распространенный среди курильщиков. Налет встречается среди людей, длительное время контактирующих с медными, латунными и бронзовыми предметами. Этот тип патологии характерен для молочных зубов.
- Зеленый цвет характерен при размножении бактерий, выделяющих в процессе своей жизнедеятельности много хлорофилла.
- Черный — наиболее распространенный, возникающий из-за вредных привычек и неправильного питания. Может свидетельствовать о тяжелых патологических процессах во внутренних органах (печени, селезенки).
Методики удаления
Итак, вы обнаружили черный налет на зубах, что делать? Первым делом – записаться на консультацию к стоматологу. В зависимости от степени поражения и анамнеза доктор подберет методику лечения.
Основополагающим фактором при выборе терапии являются причины темного налета на зубах, поэтому могут потребоваться анализы и диагностика. В отдельных случаях может потребоваться консультация специалиста (при наличии хронических заболеваний).
Эффективным, проверенным и безопасным способом как удалить черный налет на зубах, признан ультразвук. Для процедуры применяется специальный аппарат – скалер. Он издает ультразвуковые колебания и через наконечник передает их на зубную поверхность. Под воздействием ультразвуковой вибрации отложения разрушаются и отделяются от эмали.
Ультразвуковая чистка безболезненна, не вызывает проблем со здоровьем, после нее не болят зубы и можно вести привычный образ жизни. Ее можно проводить и взрослым, и детям.
Надежный результат демонстрирует процедура по технологии Air Flow (Эйр Флоу). Она вернет зубам первоначальный вид, устранит почернения и отложения, восстановит красоту улыбки. Может использоваться как в боковой, так и во фронтальной зоне.
В этом методе используется пескоструйный принцип обработки песком определенной дисперсности. Под высоким давлением на зубную поверхность подается смесь воды, воздуха и абразивных частиц. Эмаль полируется, становится гладкой и очищается от пигмента и твердых частиц.
Это были основные советы, как убрать черный налет на зубах, но разумнее все же использовать профилактические меры и до клинического лечения не доводить.
Как убрать налет между зубами?
Профессиональные методики чистки помогут разрешить такую проблему, как убрать налет между зубами:
- Самый доступный и безопасный метод ликвидации проблемы – ультразвуковая чистка межзубных промежутков. Этот способ удаляет существующие отложения, убивает болезнетворные микроорганизмы и прекрасно полирует эмаль, предотвращая развитие пятен на некоторое время.
- Лечение при помощи методики Air Flow. Суть процедуры заключается в нанесении на поверхность проблемных участков смеси воды, воздуха и соды. Полировка происходит под давлением, налет удаляется даже с труднодоступных мест.
- Лазерная очистка – дорогостоящий, но эффективный метод, не повреждающий эмаль и бережно снимающий отложения с поверхности зубов. Длительность сохранения эффекта – около года, возможно повторное проведение процедуры при запущенном процессе.
Методы диагностики фарингита
С жалобами, соответствующими симптомам фарингита, Вы можете обратиться к врачу общей практики (семейному врачу или терапевту) или к профильному специалисту – отоларингологу (ЛОРу).
Детский приём ведут квалифицированные врачи-педиатры и детские ЛОР-врачи.
Для диагностики фарингита используются следующие методы:
Фарингоскопия
Фарингоскопия – визуальное исследование слизистой оболочки горла. При фарингите проводится орофарингоскопия – осмотр ротовой части горла. С помощью фарингоскопии врач обнаруживает факт воспаления – покраснение горла и нёбных дужек; видны отдельные воспаленные лимфоидные гранулы
Для врача важно убедиться, что несмотря на воспалительный процесс в горле, нёбные миндалины не имеют признаков воспаления, характерных для ангины, то есть имеет место именно фарингит
Мазок из зева
Мазок нужен для того, чтобы определить, какая инфекция вызвала воспаление – вирусная или бактериальная. На основании опроса больного и фарингоскопии это сделать нельзя.
Чтобы точно продиагностировать заболевание, запишитесь на прием к специалистам сети «Семейный доктор».
Лечение
Информацию о том, как снизить кислотность желудка необходимо получить у врача гастроэнтеролога. Любые варианты самолечения в домашних условиях с использованием подручных средств, являются не только малоэффективными, но и могут привести к развитию осложнений. При симптомах гастрита с повышенной кислотностью, диета и лечение предусматривает исключение из рациона жареной и жирной пищи, копченостей, фаст-фуда, алкоголя, мясных, рыбных и овощных консервов, специй, приправ, соусов. Питаться следует дробно, небольшими порциями, 4-5 раз в день. Блюда необходимо готовить преимущественно на пару или путем отваривания. При повышенной кислотности желудка назначается диета № 1 по Певзнеру.
При симптомах гастрита с пониженной кислотностью, лечение и диета включают рецепты блюд, стимулирующих кислотообразующую функцию желудка.
Для лечения повышенной кислотности желудка, традиционная медицина использует такие группы фармацевтических средств:
- Антибактериальные препараты, которые эффективны при гиперацидном гастрите, спровоцированном бактерией Хеликобактер Пилори.
- Обволакивающие средства.
- Ингибиторы протонной помпы.
- Антациды.
- Н2 гистаминовые блокаторы.
- Препараты висмута.
Для поддержания нормальной кислотности желудочного сока, важно сохранять баланс нормальной желудочной микрофлоры. С этой целью, рекомендовано использовать метапребиотики, которые содержат натуральный питательный субстрат для желудочных и кишечных бактерий
Метапребиотик Стимбифид Плюс помогает не только восстановить баланс нормальной желудочной и кишечной микробиоты, но и способствует эрадикации (уничтожению) Хеликобактер Пилори. Также, компоненты метапребиотика ускоряют процесс восстановления желудочного эпителия.
Важно узнать точную причину выделения мокроты
Появление влажного кашля, сменяющего сухой, обычно рассматривается как переход к стадии выздоровления. Если речь идет об обычной респираторной инфекции или гриппе, в большинстве случае это действительно так. Однако, причин возникновения мокроты множество, и выяснить актуальную необходимо, чтобы понять, с каким заболеванием вы столкнулись.
Выделение мокроты при длительном кашле может быть вызвано:
- вирусными инфекциями (ОРВИ, грипп, круп, коклюш);
- воспалением бронхов и легочной ткани (бронхит, пневмония);
- аллергией (бронхиальная астма);
- гнойно-деструктивным процессом в дыхательных органах;
- туберкулезом;
- онкологическими заболеваниями (рак легких).
Помимо оттенков, мокрота различается по консистенции: она может быть жидкой, слизистой, а также может содержать примеси крови и гноя.
Кроме того, есть ряд заболеваний, при которых мокрота может скапливаться и без кашля. В таких случаях она ощущается как комок в горле, от которого сложно избавиться. Скопившаяся слизь вызывает сильный дискомфорт, мешает нормальному дыханию, появляется першение, зуд, а затем и боль в горле. Сам по себе этот симптом может говорить о разных заболеваниях — поэтому здесь тоже необходима диагностика.
Мокрота без кашля может быть вызвана:
- аллергическим, вирусным или бактериальным синуситом или гайморитом;
- фарингитом;
- тонзиллитом;
- скрытой формой туберкулеза.
Важно помнить, что даже легкая форма синусита при отсутствии лечения может легко перерасти в менингит, несущий угрозу уже не только здоровью, но и жизни человека.
О том, что значит цвет мокроты при кашле и без него в каждом конкретном случае, экспертно может судить только врач. Обратившись в нашу клинику, вы можете рассчитывать на медицинскую помощь самого высокого уровня. У нас вы получите подробную консультацию и направление на анализы, которые можно сдать здесь же: мы располагаем собственной лабораторией с современным оборудованием, дающим быстрые и точные результаты.
В зависимости от поставленного диагноза, пациенту назначаются:
- жаропонижающие, противовоспалительные препараты;
- антибиотики;
- отхаркивающие средства;
- лечебные ингаляции;
- промывания;
- физиотерапия.
В Клинике доктора Пеля принимают опытные специалисты — взрослые врачи и педиатры. Вы всегда можете записаться на прием отоларинголога в Санкт-Петербурге на нашем сайте, выбрав удобное для вас время. А если ситуация не требует немедленного посещения врача, или у вас нет возможности приехать в клинику — можно записаться на онлайн-консультацию или вызвать специалиста на дом.
Можно ли удалить зубной камень в домашних условиях
В интернете и печатных изданиях можно найти множество рецептов для самостоятельного удаления камня в домашних условиях. Это и смесь чёрной редьки с лимонным соком, и отвары коры грецкого ореха, и прочие невероятно практичные средства, которые можно достать в любом огороде.
Но проблема в том, что они практически не работают. Отвары трав и растений могут положительно действовать на мягкие ткани полости рта, да. Но с минеральным налётом им справиться не получится. Ежедневная чистка поможет удалить бактериальную биоплёнку, но не зубной камень. Попытки размягчить минеральный налёт кислотой, как это делали 25-50 лет назад, также ни к чему хорошему не приведут и могут вызвать и боль в уже воспалённых тканях десны, и повысить чувствительность эмали.
Минеральный зубной камень в домашних условиях, к сожалению, полностью удалить невозможно. Ни пастой клубники, ни смесью чёрной редьки с лимоном, ни отваров коры грецкого ореха, ни содой, ни тампоном с перекисью водорода. Ни одна, даже самая разрекламированная щётка или паста, не сможет разрушить минеральные структуры. А вот поцарапать, стереть здоровую эмаль или вызвать её повышенную чувствительность – вполне.
Единственный эффективный и безопасный способ устранить минеральный налёт (зубной камень) с поверхности эмали – это обратиться к стоматологу.
Также в разделе
| Значение лимфатических узлов в патогенезе гнойно-воспалительных осложнений и способ воздействия на них лазером. К.З. Салахиддинов, Э.С. Джумабаев. Кафедра хирургических болезней лечебного и педиатрического факультетов Андижанского мединститута (зав. проф. Э.С.Джумабаев)…. | |
| Вторичная глаукома при внутриглазных опухолях А.Ф. Бровкина Отдел офтальмоонкологии и радиологии МНИИ ГБ им. Гельмгольца Secondary glaucoma in intraocular tumors A.F. Brofkina Author investigates pathogenesis of several intraocular tumors, and proposes new… | |
| Новый препарат для лечения герпетических кератитов А. А. Ватченко,В. Н. Сакович Кафедра офтальмологии Днепропетровской государственной медицинской академии Герпетическая инфекция — одна из основных причин… | |
| Опыт лечения рецидивирующих форм простого герпеса Проценко О.А. Донецкий национальный медицинский университет им. М. Горького Резюме Представлено обоснование и доказана эффективность длительной… | |
| Противовирусная терапия в лечении гриппа Г.Н. Чувиров, Т.П. Маркова В настоящее время противовирусная терапия сформировалась в самостоятельный раздел знаний в связи с распространением и ростом… | |
| Якість життя в пацієнтів з м’якою та помірною артеріальною гіпертензією. Зміни під впливом антигіпертензивного лікування. Основною метою медицини є збереження життя людини. Але при цьому терапевти загальної практики, психіатри, офтальмологи та отоларингологи, пластичні хірурги,… | |
| Опыт применения ПНЖК ω-3 у детей с атопическим дерматитом А. Н. Пампура, кандидат медицинских наук Н. Н. Погомий, кандидат медицинских наук А. А. Чебуркин, кандидат медицинских наук О. Б. Святкина, доктор… | |
| Сопоставление мочевыводящей и пищеварительной систем – морфофункциональные и клинические параллели С.В. Бельмер, Т.В. Гасилина РГМУ Несмотря на очевидные различия структуры и функций пищеварительной и выделительной систем, можно найти немало общего в… | |
| Возможности комплексной терапии при реабилитации инсульта Ларикова Т.И., Луканин А.Н., Ужегова И.В., Яковец Ю.Е. Последствия инсульта ложатся тяжелым бременем на общество вследствие причинения интенсивных психических,… | |
| Применение Алфлутопа при вертеброгенных болевых синдромах у пациентов с хроническими обструктивными заболеваниями легких и бронхиальной астмой Остеохондроз позвоночника является основной причиной вертеброгенных болевых синдромов — цервикалгии, торакалгии, люмбалгии, люмбоишиалгии. В патогенезе… |
Симптомы зубного налета
Одним из первых проявлений зубного налета является наличие на поверхности зубов мягких отложений белого цвета, которые с ходом времени твердеют. Если в его составе имеются лактобактерии и стрептококки, то может начаться активное выделение кислоты, что приведет к развитию кариеса. Постепенно налет желтеет, его структура уплотняется, что уменьшает количество кислорода, поступающего к зубам. В результате воспаляются десна. Увеличение количества налета на зубах может свидетельствовать о дисбактериозе, что может сопровождаться расстройством желудка, кишечными инфекциями, тошнотой и рвотой.
Другим серьезным осложнением зубного налета является его трансформация в каменные отложения. Так, редкое посещение врача и игнорирование патологических процессов в ротовой полости может привести к опасным болезням десен и зубов.
Какой метод удаления зубного налета лучше
Редакция сайта 32-топ проанализировала разные методы избавления от зубного налета и выявила их плюсы и минусы.
Домашняя чистка
Плюсы:
- Недорого;
- Не требует визитов к врачу;
- Не требует временных затрат, так как заменяет обычную чистку зубов.
Минусы:
- Не справляется с серьезными отложениями;
- Из-за абразивного действия может повредить эмаль.
Чистка у стоматолога
Плюсы:
- Справляется даже с самым сложным налетом;
- Не повреждает зубную эмаль;
- Позволяет удалить налет полностью, даже с труднодоступных поверхностей.
Минусы:
- Связан с финансовыми затратами;
- Требует времени и похода к стоматологу.
Редакция сайта 32-топ рекомендует вам уделять тщательное внимание профессиональной гигиене и удалению налета в домашних условиях – тогда посещать врача для профессиональной чистки вам практически не придется, что сэкономит ваше время и деньги
Причины потемнения и пожелтения эмали
От природы эмаль может быть желтоватой, сероватой или белой. Это врожденные особенности, никак не связанные с внешними факторами. Изменить цвет такой эмали можно, но возможности ограничены.
То же касается возраста. С годами цвет зубов, как правило, становится темнее. Это естественный процесс.
Состав воды
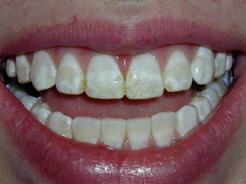
До определенной степени фтор, содержащийся в водопроводной воде, полезен для зубов. Но если его уровень повышен, то растет риск образования флюороза – матово-белых или желтоватых пятен на поверхности эмали. Флюороз поражает, как правило, видимые поверхности зубов – передних верхних резцов, и при этом очень плохо поддается лечению.
Флюороз: матовые белые пятна портят вид эмали
Уход за зубами
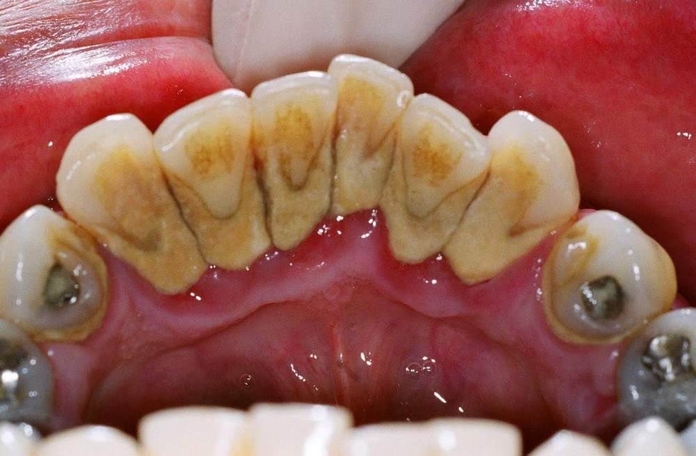
Недостаточно тщательная гигиена – причина того, что налет остается на зубах и постепенно затвердевает. В труднодоступных местах – между зубами, возле корней – он минерализуется, превращается в камень. Обычно такие отложения приобретают желтоватый, коричневый цвет, могут быть почти черными.
Зубной камень – это отвердевший налет
Питание и привычки
Черный чай, кофе, красное вино оставляют темные пигменты на зубах. У курильщиков зубы темнеют из-за того, что на них оседают смолы, содержащиеся в табачном дыме. При частом употреблении обычная чистка и даже профессиональная гигиена не восстанавливают природную белизну зубов, потому что из-за пигментов темнеет сама эмаль.
Другие внешние факторы
Есть ряд лекарств, которые могут повлиять на цвет эмали. Причем побочный эффект может проявиться спустя десятки лет после лечения. Такие дефекты, как потемнения из-за приема препаратов, почти невозможно отбелить, так как пигментация в этом случае заложена в глубоких слоях эмали.
Тетрациклиновые зубы – потемнение из-за приема антибиотиков
Причины зубного налета
Зубной налет обычно формируется сразу после чистки зубов. Это естественный физиологический процесс, который может иметь негативные последствия при избыточном количестве бактерий. На объемы скапливающихся микробов влияют следующие факторы: игнорирование правил гигиены рта, тип рациона, состояние ЖКТ, вредные привычки, наличие пломб и протезов, индивидуальные особенности состава слюны, а именно количество вырабатывающейся жидкости и ее вязкость. Образование налета может ускориться вследствие частого употребления мягкой еды, жирных продуктов, насыщенных белком и рафинированными углеводами (лактозой, сахарозой, глюкозой). Микрофлора полости рта определяется возрастными изменениями в организме и гормональными сдвигами.
Механизм образования зубного налета
Врачи за годы практики детально изучили состав зубного налета. Пленка на поверхности зубов, которая образуется после их чистки, состоит из воды, микроорганизмов и минимального количества неорганических веществ (кальция, фтора и фосфора). Известно, что в ротовой полости обитают порядка 2500 видов различных микроорганизмов. Некоторые из них налипают на эмаль и образуют колонии. Так, в зубном налете числится от 400 до 1000 микроорганизмов, которые находятся во рту постоянно и не несут в себе вреда. Однако увеличении их числа приводит к развитию воспаления тканей пародонта и кариесу.
Скопления зубного налета носит поэтапный характер:
- На первой стадии сразу после очищения зубов на них появляется пелликула – скопление слюнных гликопротеидов. Главной функцией этой оболочки является контроль перемещения разных веществ из ротовой полости в ткани зубов. Эта пленочка почти незаметна. Далее в течение часа на зубы налипают бактерии: грампозитивные палочки и кокки, которые создают связи с гликопротеидами.
- На следующем этапе пелликула и бактерия соединяются посредством липких полимеров, синтезируемых из углеводов. В течение 48 ч к налету добавляются новые колонии бактерий, за счет он отвердевает и утолщается.
Общая информация
В 80% случаев, причиной развития воспалительного процесса с повышенной кислотностью желудка, является микроорганизм Хеликобактер Пилори, которая нарушает естественные защитные свойства желудка и приводит к повреждению эпителия органа. Гастрит с повышенной кислотностью может развиваться у людей независимо от возраста, в том числе у детей.
К другим факторам, предрасполагающим к развитию данного состояния, можно отнести:
- Регулярное воздействие стресса на организм.
- Нерациональное питание, преобладание в рационе жареной и жирной пищи, а также блюд, приготовленных во фритюре.
- Злоупотребление так называемыми перекусами.
- Длительное или бесконтрольное использование препаратов из группы нестероидных противовоспалительных средств. Частое употребление слишком горячей или слишком холодной пищи. Кроме того, высокая предрасположенность к развитию гиперацидного гастрита имеется у людей с заболеваниями щитовидной железы, сахарным диабетом и подагрой.
Чем опасна повышенная кислотность
Желудочный сок содержит соляную кислоту, которая необходима для расщепления компонентов пищи. Для того чтобы кислотная среда не повреждала стенки желудка, вырабатывается защитная слизь. При повышенной кислотности желудка наблюдается разрушение слизистого защитного слоя, с последующим формированием воспалительного процесса, образованием эрозий и язв.
Клинические симптомы
Воспалительное поражение органа с увеличением секреции желудочного сока чаще обостряется в период межсезонья, в осенние или весенние месяцы. К симптомам повышенной кислотности желудка можно отнести:
- Тянущая или схваткообразная боль в подложечной области, которая чаще усиливается после приема пищи. При остром течении воспалительного процесса, боль может сопровождаться рвотой, которая приносит временное облегчение.
- Изжога, которая вызвана забросом кислотного содержимого желудка в пищевод.
- Отрыжка кислым.
- Неприятный запах изо рта.
- Расстройства стула в виде запоров или диареи.
К другим симптомам повышенной кислотности желудка при гастрите относится слабость, головокружение, повышенная потливость, избыточное газообразование в кишечнике (метеоризм), усиленное слюноотделение, повышение или снижение аппетита, появление белого или серого налёта на поверхности языка. Пониженная кислотность желудка сопровождается такими симптомами, как уменьшение аппетита, ощущение тяжести в эпигастрии, отрыжка тухлым.
Пигментный зубной налет
Пигментный налет – это тот налет, который обычной щеткой и пастой не устранишь, так как он проникает глубоко в структуру эмали. Он образуется преимущественно из-за продуктов с полифенольными соединениями – чая, кофе и некоторых красящих продуктов питания. Есть полифенольные соединения и в никотине, чем и объясняется налет на зубах курильщиков. Пигментный налет не обязательно сопровождается бактериальным – при регулярной чистке зубов второго у человека может не быть.
Пигментный зубной налет
А вот при плохой гигиене полости рта у человека помимо бактериального рано или поздно появится и пигментный налет – к поверхности налета или зубного камня пигменты прилипают намного легче.
Важно понимать, что зубной налет обязательно нужно удалять. Он вызывает неприятный запах изо рта, а недавно ученые из Израиля и США установили, что налет способен провоцировать рак кишечника
Актуальные акции стоматологий
30%
Предложение ограничено
Подробнее
Предложение ограничено
Подробнее
25%
Предложение ограничено
Подробнее
Предложение ограничено
Подробнее
Предложение ограничено
Подробнее
Предложение ограничено
Подробнее
Предложение ограничено
Подробнее
Предложение ограничено
Подробнее
25%
Предложение ограничено
Подробнее
Предложение ограничено
Подробнее
Предложение ограничено
Подробнее
Предложение ограничено
Подробнее
Предложение ограничено
Подробнее
Предложение ограничено
Подробнее
10%
Предложение ограничено
Подробнее
25%
Предложение ограничено
Подробнее
15%
Предложение ограничено
Подробнее
Предложение ограничено
Подробнее
Предложение ограничено
Подробнее
Предложение ограничено
Подробнее
Предложение ограничено
Подробнее
Предложение ограничено
Подробнее
Предложение ограничено
Подробнее
Предложение ограничено
Подробнее
Предложение ограничено
Подробнее
Предложение ограничено
Подробнее
Предложение ограничено
Подробнее
Предложение ограничено
Подробнее
Предложение ограничено
Подробнее
Как убрать налет с зубов?
Эмаль с течением времени повреждается, на твердой поверхности образуются микроскопические трещинки и сколы. Именно здесь создаются благоприятные условия для скопления остатков пищи и размножения бактериальной флоры. Даже тщательная чистка и лечебная паста не всегда способна справиться с устранением патологического процесса.

Со временем образование твердеет – формируется зубной камень, который невозможно удалить в домашних условиях без помощи квалифицированного стоматолога.
Чтобы эффективно решить вопрос «Как убрать налет с зубов?», следует точно определить локализацию патологического процесса:
- Зубнодесневой патологический процесс развивается на коронке около десен.
- Проксимальный вариант – скопление отложений в местах контакта боковых стенок.
- Поддесневой – визуально определить его крайне трудно. Патологический процесс протекает под деснами, приводя в короткие сроки к развитию осложнений.
Как убрать черный налет на зубах?
Пятна черного цвета формируются при злоупотреблении кофе, черным чаем, алкогольными напитками и наркотическими веществами. Формируется на протяжении многих лет (иногда в течение всей жизни). Если диагностируется в детском возрасте, то чаще имеет грибковую природу (причина – дисбактериоз). Часто возникает после перенесения тяжелых вирусных инфекций.
Как убрать черный налет на зубах:
- Удаление с помощью лазера – наиболее эффективный и щадящий способ, позволяющий надолго избавиться от дефекта. Процедура абсолютно безболезненная, не повреждает эмаль, позволяет избежать кровотечения.
- Ультразвуковая очистка – метод выбора для ослабленной эмали. Действует очень мягко, устраняет даже твердые отложения (в том числе и зубной камень).
- Домашние средства – регулярное использование лечебных паст с высоким содержанием фтора.
- Отличная профилактика – регулярное употребление в пищу свежих фруктов и овощей (особенно полезны морковь и яблоки). Эти продукты оказывают существенную помощь полости рта, предотвращая пятнообразование и улучшая кровообращение десен.
Как убрать желтый налет на зубах?

Желтые отложения на поверхности эмали – наиболее доброкачественные, они легко поддаются удалению и редко трансформируются в камень, отличаются рыхлой структурой. Регулярная чистка жесткой щеткой и отбеливающими пастами поможет эффективно избавиться от отложений и придать улыбке сверкающую белизну.
Главное условие – приобретайте только профессиональную пасту в аптеках или специализированных отделах магазинов. Пользоваться лечебными пастами нельзя постоянно – достаточно месячного курса, проводимого однократно в полугодие.
Как убрать желтый налет на зубах при помощи домашних средств? Можно воспользоваться обычной пищевой содой – тщательно почистите ротовую полость средством в течение 2-3 минут до привычной чистки. Чтобы не повредить эмаль, следует использоваться этот метод раз в неделю.
Лечение зубного налета
Самым простым и доступным способом устранения зубного налета является регулярная чистка зубов щеткой с пастой. Таким образом можно удалить даже плотный налет, если подобрать щетку с жесткой щетиной. Для удаления налета с труднодоступных мест, как например коронки, брекеты, межзубные пространства можно использовать ирригаторы.
Удаление зубного налета для предотвращения патологических процессов должно быть регулярным. Снимать его нужно пастой и зубной щеткой оптимальной жесткости. Чистка зубов должно проводиться 2-3 раза в день желательно после приемов пищи. В крайнем случае после приема пищи нужно прополоскать рот водой. Застрявшие остатки пищи следует удалять зубной нитью
Важно посещать в целях профилактики врача хотя бы 1–2 раза в год. Так как удалить самостоятельно отвердевший налет, а особенно зубной камень, самостоятельно невозможно
Профессиональная чистка зубов при помощи различных насадок позволит полностью удалить его с поверхности. После чего врач проводит тщательную шлифовку и полировку зуба с нанесением в конце фторсодержащим гелем для снижения чувствительности и предотвращения развития кариеса. После процедуры пациенту рекомендуется несколько дней не курить, отказаться от употребления красящих продуктов.
Формы фарингита
Как выглядит фарингит
Различают острый и хронический фарингит.
Для острого фарингита характерны следующие симптомы:
- сухость и першение в горле;
- болезненность при глотании, особенно при сглатывании слюны (так называемый «пустой глоток»);
- иногда наблюдаются подъём температуры до 37,5-38°C и общая слабость.
Хронический фарингит обычно протекает при нормальной температуре. Довольно часто наблюдается сухой кашель, возникает постоянное желание прокашляться, «прочистить» горло. Больному приходится всё время сглатывать слизь, что вызывает болезненные ощущения
В результате повышается раздражительность, снижается внимание и работоспособность, нарушается сон.







